Nefrectomía parcial 3D de tumor hiliar posterior
- MIRAI 3D
- 2 sept 2021
- 2 Min. de lectura
Actualizado: 20 sept 2021
Dr. Alberto Manuel Jurado
Hospital Italiano - Ciudad de Buenos Aires, Argentina
Beneficios
✔ Precisar la ubicación del tumor y los vasos cercanos
✔ Mejorar la estrategia quirúrgica
✔ Evitar complicaciones
✔ Brindar una herramienta de consulta dentro del quirófano
Caso clínico
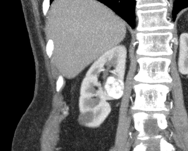
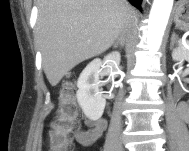
Una paciente de 74 años presenta un tumor de 22x25mm en su riñón derecho que fue hallado por un estudio de tomografía.
Luego de unos meses, la paciente vuelve al consultorio para realizar seguimiento, donde el doctor decide realizar una ecografía de control. En la misma, se reconfirma el diagnóstico de tumor renal hiliar en valva posterior del riñón derecho. Con este resultado, se decide realizar una intervención quirúrgica. Para la misma, dadas las características de la masa anómala, el Dr. Jurado solicita un modelo 3D para planificar la cirugía.
Modelo anatómico 3D
◾ Tecnología: FDM
◾ Material: PLA
◾ Resolución: 0.2 mm
◾ Terminación: Múltiples colores
Planificación quirúrgica y resultados en quirófano
La planificación avanzada con biomodelos introdujo una gran mejora en la estrategia quirúrgica evitando situaciones inesperadas. Durante la intervención, el cirujano buscó identificar las estructuras importantes en la ubicación previsualizada en la impresión 3D, lo que permitió ir directo al tumor cuidando todas las estructuras anatómicas cercanas.
A la paciente se le realizó una nefrectomía parcial lumboscópica derecha por vía retroperitoneal. El procedimiento completo duró 65 min. y el tiempo de isquemia fue de 20 min.
"Excelente correlación entre el modelo impreso y los elementos encontrados en la disección. Esto facilitó y agilizó la realización del procedimiento." Concluyó el Dr. Jurado sobre su experiencia en este caso.
Conoce más aplicaciones en uro-oncología: "Cáncer renal con biomodelos 3D - Cambios en la estrategia quirúrgica". El Dr. Miguel Bergero en el Sanatorio San Gerónimo utilizó un modelo 3D virtual para planificar la intervención que le permitió introducir un cambio en el abordaje quirúrgico luego de indentificar con claridad la ubicación del tumor.






























Comentarios