¿Qué beneficios ofrecen las tecnologías 3D para resecar tumores en páncreas?
- MIRAI 3D
- 1 oct 2020
- 2 Min. de lectura
Actualizado: 17 feb 2021
Dr. Federico Walter García
Clínica Pueyrredón - Mar del Plata, Argentina
Beneficios
✔ Diseño del plan quirúrgico
✔ Reducción de tiempos quirúrgicos
✔ Disminución de sangrado
✔ Guía en el abordaje en quirófano
✔ Mejora la interacción entre médicos involucrados
Caso clínico
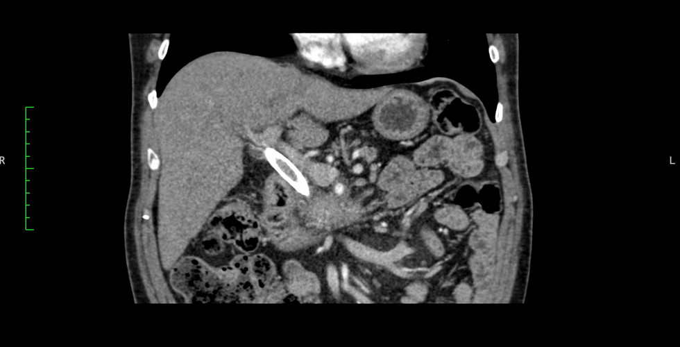
Mujer 71 años diagnosticada con cáncer de páncreas borderline (tumor de bajo potencial maligno) resecable.
Teniendo en consideración la posibilidad de que se agrave el diagnóstico, los médicos a cargo decidieron realizar una resección del tumor ubicado en la cabeza del páncreas.
La evaluación correcta del tumor era de suma importancia por su cercanía con el duodeno, la vena mesentérica superior, la vena porta hepática y la arteria mesentérica superior.
Plan quirúrgico y resultado en quirófano
El plan quirúrgico consistió en una duodeno-pancreatectomía cefálica, que se inició con un abordaje laparoscópico y luego se convirtió en una cirugía abierta para mayor seguridad al momento de despegar el tumor de la vena porta y vena mesentérica superior.
Se utilizó modelo virtual 3D con la anatomía específica del paciente para diseñar la estrategia de resección. Esto permitió al equipo de cirujanos optimizar y disminuir los tiempos quirúrgicos: tiempo de isquemia y tiempo en quirófano, resultando en un procedimiento total de 5 horas. Además, al saber donde encontrarían los vasos que debían ligar, fueron capaces de reconocer de antemano los momentos críticos de la cirugía y disminuir el sangrado.

La cirugía fue llevada a cabo con éxito y la paciente fue dada de alta al quinto día de la intervención.
"La experiencia fue muy buena, nos permitió tener una planificación más realista al momento de realizar la cirugía". Concluye el Dr. Federico Walter García, luego de utilizar por primera vez planificación quirúrgica 3D.
¿Quieres conocer más casos de cirugía HPB? "Biomodelo de tumor pancreático para cirugía pediátrica". En la Fundación Garrahan, el Dr. Horacio Questa, utilizó un modelo tridimensional para planificar la resección de un tumor de Frantz en una paciente de 9 años.

















Comentarios