Tumor bronquial: ¿Cómo evitar la resección de un pulmón del paciente?
- MIRAI 3D
- 17 jun 2020
- 1 Min. de lectura
Actualizado: 20 sept 2021
Dr. Alejandro Bertolotti
Hospital Universitario Fundación Favaloro - Buenos Aires, Argentina
Beneficios
✔ Mayor entendimiento de la anatomía
✔ Rediseño del plan quirúrgico
✔ Mejora en la interacción entre el médico y el paciente
✔ Guía en el abordaje quirúrgico en el quirófano
Caso clínico
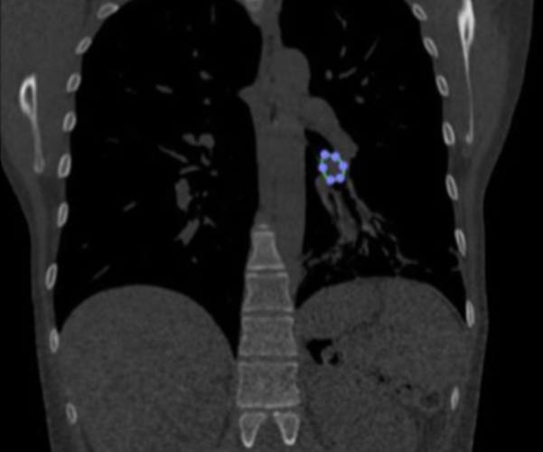
Mujer de 38 años, ex fumadora diagnosticada con tumor carcinoide bronquial localizado en el lóbulo inferior del pulmón izquierdo.
Modelos 3D anatómico
◾ Tecnología FDM
◾ Material: PLA
◾ Resolución: 0.2 mm
◾ Terminación: Dos colores
Plan quirúrgico y resultados en quirófano
El primer plan quirúrgico, basado en las imágenes de Tomografía Computada, era una lobectomía inferior izquierda.
Luego de tener a disposición el modelo 3D de las vías aéreas de la paciente, el cirujano pudo localizar con precisión el tumor y notó que se encontraba por debajo de lo que creía. Además el modelo tridimensional permitió identificar fácilmente sus límites lo que permitía pensar en un nuevo plan para el tratamiento de la paciente.
De este modo, se cambió la estrategia quirúrgica y se realizó una resección bronquial segmentaria, que implicó extirpar únicamente el tumor salvando el lóbulo inferior de la paciente.
Seguidamente, se realizó una reanastomosis del árbol bronquial para reconstruir la vía aérea sin pérdida del parénquima pulmonar.
Testimonio















Comentarios